Koronavirusun insan beynindəki fəsadları aşkarlanıb
Gündəm
9 İyul 2020 15:45

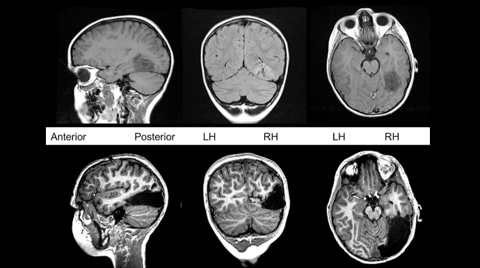
London Universiteti Kollecinin (UCL) tədqiqatçıları COVID-19 üzündən beyin xəstəliklərinin artacağı qənaətinə gəliblər.
Məsələyə dair elmi məqalədə koronavirus xəstəliyinin 16-85 yaş arasındakı 43 nəfərdə necə keçdiyi araşdırılıb.
Araşdırma nəticəsində həmin xəstələrin 10 nəfərində beyinin fəaliyyəti müvəqqəti pozulub, 12 nəfərində beyin iltihabı yaranıb. Bununla yanaşı, insult və s. ciddi fəsadlar da özünü göstərib. (“Report”)
Oxunub : 2370
DİGƏR XƏBƏRLƏR
5 Aprel 2026 14:47
Sabah hava necə olacaq?- AÇIQLANDI
4 Aprel 2026 23:00
Kiberhücumlara qarşı müdafiə gücləndirilir: Yeni Koordinasiya Mərkəzi yaradılacaq
4 Aprel 2026 19:55
Rahatlıq və təhlükəsizlik prioritetdir - Paytaxt yolları yenilənir - VİDEO
4 Aprel 2026 18:12
Yollarda görünüş məsafəsi məhdudlaşacaq - XƏBƏRDARLIQ
4 Aprel 2026 16:00
Vətən müharibəsinin müjdəçidi – Aprel döyüşləri - FOTOSESSİYA
3 Aprel 2026 23:06
Taksilər və sərnişinlər üçün VACİB QƏRAR: Gediş haqqı artacaq?
3 Aprel 2026 22:48
Pezeşkian İlham Əliyevə təşəkkür etdi
3 Aprel 2026 22:21
Bakının mərkəzində hərəkət məhdudlaşdırılacaq - Bu tarixədək
3 Aprel 2026 21:36
Bakıda "Land Rover"in sürücüsü həyəti özününküləşdirdi — FOTOLAR
3 Aprel 2026 21:09
Yeni ödənişli yolun məbləği ilə bağlı TARİF ŞURASINDAN AÇIQLAMA
3 Aprel 2026 20:33
Bəzi dövlətlər ikili standartlara görə BMT-dən çıxacaq – POLİTOLOQ
3 Aprel 2026 18:00
DTX-də peşə bayramı günü münasibətilə tədbir keçirilib - FOTO - VİDEO
ŞƏRH YAZ










